As many of you might know, I have a fourth book in the Rhe Brewster Mystery series just out. When I sat down to write my first book, I had no idea one would become four! But as a typical writer, I fell in love with my characters and couldn’t bear to part with them. Life was empty when that first book was finished, so I started another, and then another.
The other thing that prompted me to keep writing was the writing – I love sitting down in the morning, not knowing what is going to come out of my head that day. I am a pantser, and the joy of just writing is looking at the words that made it to a page and wondering where the devil they came from. What synapses and connections in all those neurons in my brain led me to write those words?
Since I spent my life doing research, I naturally did a little investigation. In an early study in the 1960’s by Frank Barron, writers Truman Capote, William Carlos Williams, and Frank O’Connor, along with leading architects, scientists, entrepreneurs, and mathematicians, spent several days living together on the University of California at Berkeley campus.

Wouldn’t you have liked to be part of THAT group? They got to know one another, were observed by researchers, and completed various evaluations looking for indicators of creative thinking. Barron found that, contrary to conventional thought at the time, intelligence had only a modest role in creative thinking. IQ alone could not explain the creative spark.
Instead, the study showed that creativity is informed by a whole host of traits that people across all creative fields seemed to have in common: openness to one’s inner life; a preference for complexity and ambiguity; an unusually high tolerance for disorder and disarray; independence; unconventionality; and a willingness to take risks. In other words, creativity draws on the whole brain, in a dynamic interplay of many different brain regions, emotions, and our unconscious and conscious processing systems.
This was partially confirmed by a 2014 study by some German researchers, who tracked the brain activity of both experienced and novice writers using fMRI scanners. Okay, here’s some heavy duty technical stuff I hope you can understand: FMRI (functional magnetic resonance imaging) measures brain activity by detecting changes associated with blood flow. This technique relies on the fact that cerebral blood flow and the activity of neurons in different parts of the brain are coupled.

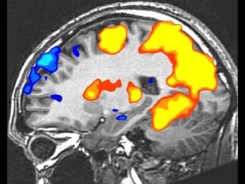
From You Tube: Brain regions activated by playing Re-Mission. Red/orange/yellow = increased activity. Blue = decreased activity
There were differences in sites of brain activity between the two groups, with the inner workings of the professionally trained writers showing some similarities to people who are skilled at other complex actions, like music or sports. The researchers also found that some regions of the brain became active only during the creative process, but not while copying. When trained writers do mental brainstorming for their stories, some vision-processing regions of the brain became active. It’s possible that the writers were actually ‘seeing’ the scenes they wanted to write. This study has been criticized for the small sample size and for the crudity of the approach, but I find the results compelling and supportive of the results of Baron’s work.
After more reading, I had to conclude that neuroscience does not yet know precisely how the brain works when it comes to creating those stories that, from the writer’s point of view, almost seem to write themselves. But this is a good start. Over time technology will throw up more parts of how the mind works to create a story, but for now, I’m just grateful mine does!
Many thanks to Sue for inviting me to do a post. I have to admit when I sat down to do it, I had no idea what I was going to write about!
“Death in a Mudflat is a hugely enjoyable, fast-paced mystery with excellent attention to forensic and scientific detail.” –Christoph Fischer, author of The Body in the Snow, Black Eagle Inn, and Time to Let Go
Death in a Mudflat: A Rhe Brewster Mystery, the next installment in the popular series that takes readers on a suspenseful ride through the picturesque small town of Pequod, Maine.
Death in a Mudflat follows fearless detective, ER Nurse and devoted mother Rhe Brewster as she is thrown into a new case – and this one gets a bit muddy. When an idyllic seaside wedding is suddenly interrupted by the grotesque sight of a decaying human arm poking out of the tidal mud, Rhe finds herself trying to solve a mystery full of duplicity, drugs, and of course, murder.
With her best friend Paulette and her main man Sam, the Chief of Police, Rhe seeks to solve the puzzle of the body found in the muck while also working with the FBI to identify the source of shipments of tainted heroin flooding the local campus and community. Maine’s opioid crisis has hit the town hard, with an escalating number of overdoses. More murders are uncovered, testing Rhe’s detective skills and steely resolve. While she follows the clues, Rhe encounters some sinister inhabitants of Pequod’s underbelly, including a practitioner of the Dark Arts, a hydra-headed crime gang, and an embittered, unhinged lobsterman with an axe to grind and nothing to lose. In her relentless drive to solve the crimes, Rhe narrowly escapes a watery grave, trades blows with Russian goons, and unknowingly prompts Paulette to put her life on the line in an attempt to catch a murderer in the act.
Find Death in a Mudflat on Amazon
About the Author
Noelle A. Granger grew up in Plymouth, Massachusetts, in a rambling, 125-year-old house with a view of the sea. Summers were spent sailing and swimming. She was also one of the first tour guides at Plimoth Plantation. Granger graduated from Mount Holyoke College with a bachelor’s degree in Zoology and from Case Western Reserve University with a Ph.D. in anatomy. Following a career of research in developmental biology and teaching human anatomy to medical students and residents, the last 28 years of which were spent at the University of North Carolina School of Medicine, she decided to try her hand at writing fiction. The Rhe Brewster Mystery Series was born.
The series features Rhe Brewster, an emergency room nurse, as the protagonist. Rhe lives in the fictional coastal town of Pequod, Maine, (similar to Plymouth) and Granger uses her knowledge of such a small town, her experiences sailing along the Maine coast, and her medical background to enrich each book in the series. In the first book, Death in a Red Canvas Chair, the discovery of a wet, decaying body of a young woman, sitting in a red canvas chair at the far end of a soccer field, leads Rhe on a trail that heads to a high-end brothel and a dodgy mortuary operation.
The second novel in the Rhe Brewster Mystery Series, Death in a Dacron Sail, was released in 2015, and finds Rhe responding to a discovery by one of the local lobstermen: a finger caught in one of his traps. The third book, Death By Pumpkin, begins with the sighting of the remains of a man’s body in a car smashed by a giant pumpkin at the Pequod Pumpkin Festival. Up next? Death in a Mud Flat.
In addition to the Rhe Brewster Mystery Series, Granger has had short stories, both fiction and non-fiction, published in Deep South Magazine, Sea Level Magazine, the Bella Online Literary Review, and Coastal Style Magazine, and has been featured in Chapel Hill Magazine, The News & Observer, The Boothbay Register, and other local press. Granger lives with her husband, a cat who blogs, and a hyperactive dog in Chapel Hill, North Carolina. She spends a portion of every summer in Maine.
Find and follow Noelle
Sayling Away Blog Twitter @rhebrewster
Goodreads Facebook Amazon author page
Books by N. A. Granger
Click images or titles to go to Amazon
On a warm fall afternoon, the sweet odor of decay distracts Rhe Brewster from the noise and fury of her son’s soccer game. She’s a tall, attractive emergency room nurse with a type A personality, a nose for investigation and a yen for adrenalin. This time her nose leads her to the wet, decaying body of a young woman, sitting in a red canvas chair at the far end of the soccer field. Her first call is to her brother-in-law, Sam Brewster, who is Sheriff of Pequod, the coastal Maine town where she lives. Sam and Rhe’s best friend Paulette, Pequod’s answer to Betty Crocker, are her biggest sources of encouragement when Rhe decides to help the police find the killer. Her discovery that the victim is a student at the local college is initially thwarted by an old frenemy, Bitsy Wellington, the Dean of Students. Will, Rhe’s husband and a professor at the same college, resents her involvement in anything other than being a wife and mother and must be manipulated by Rhe so that she can follow her instincts. Rhe’s interviews of college students leads her to a young woman who had been recruited the previous year to be an escort on a Caribbean cruise ship, and Rhe trails her to a high class brothel at a local seaside estate. The man behind the cruise ship escort service and the brothel is the owner of a chain of mortuaries and is related to the dead student. When Rhe happens on the murder of a young hospital employee who also works for the mortuary chain, she becomes too much of a threat to the owner’s multiple enterprises. She is kidnapped by two of his thugs and is left to die in a mortuary freezer. In the freezer she finds frozen body parts, which are linked to a transplantation program at her hospital. Despite all the twists and turns in her investigation, Rhe ultimately understands why the student was killed and who did it. And she solves the riddle of why the body was placed in the red canvas chair on the soccer field.
Read a review by Irene A. Waters
On an icy February morning, Rhe Brewster, an emergency room nurse with a nose for investigation, is called to a dock in the harbor of the small coastal town of Pequod, Maine. A consultant to the Pequod Police Department, Rhe is responding to a discovery by one of the local lobstermen: a finger caught in one of his traps. The subsequent finding of the body of a young girl, wrapped in a sail and without a finger, sends the investigation into high gear and reveals the existence of three other missing girls, as well as a childhood friend of Rhe’s. Battered by vitriolic objections from her husband about her work, the pregnant Rhe continues her search, dealing with unexpected obstacles and ultimately facing the challenge of crossing an enormous frozen bog to save herself. Will she survive? Is the kidnapper someone she knows? In Death in a Dacron Sail, the second book in the Rhe Brewster mystery series, Rhe’s nerves and endurance are put to the test as the kidnapper’s action hits close to home.
Read a review by author Luccia Gray
At the annual Pumpkin Festival in the coastal town of Pequod, Maine, Rhe Brewster, an ER nurse and Police Department consultant, responds to screams at the site of the Pumpkin Drop. Racing to the scene, where a one-ton pumpkin was dropped from a crane to crush an old car, Rhe and her brother-in-law, Sam, Pequod’s Chief of Police, discover the car contains the smashed remains of a man’s body. After the police confirm the death as a homicide, Rhe embarks on a statewide search to identify the victim and find the killer. During the course of the emotional investigation, she survives an attempt on her life at 10,000 feet, endures the trauma of witnessing the murder of an old flame, and escapes an arson attack on her family’s home. There is clearly a sociopath on the loose who is gunning for Rhe and leaving bodies behind. With Sam unable to offer his usual support due to an election recall and a needy new girlfriend, Rhe realizes that the only way to stop the insanity is to risk it all and play the killer’s game.
Maine’s most tenacious sleuth is back, this time to confront a menace that threatens to destroy her life and those closest to her. The latest installment of the Rhe Brewster Mystery Series, Death by Pumpkin, is a murder mystery and thriller that tests the limits of Rhe’s strength and resolve like never before.

Tell me a story…
If you are a writer, artist or photographer…If you have a poem, story or memoirs to share… If you have a book to promote, a character to introduce, an exhibition or event to publicise… If you have advice for writers, artists or bloggers…
If you would like to be my guest, please read the guidelines and get in touch!































Thank you, Sue! I hope your readers find the Brain on Writing interesting!
LikeLike
I certainly did, Noelle 🙂 Thank you.
LikeLike
Fascinating post, Noelle. I love brain science (for some reason). The combination of traits that add up to a creative bent made me laugh, particularly “an unusually high tolerance for disorder and disarray.” Ha ha. I can relate! Congrats on the new book. I’m going to have to catch up with Rhe again soon. Have a great week. Thanks for hosting, Sue. 🙂
LikeLiked by 1 person
Thanks, Diana. Glad I excited your little gray cells!
LikeLiked by 2 people
Reblogged this on DSM Publications and commented:
Check out this post by guest author Noelle A. Granger as featured on Sue Vincent’s blog.
LikeLiked by 1 person
Lovely to see Noelle here today and her lovely books. I look forward to reading some of these books! 🙂 xx
LikeLike
Noelle’s scientific background gives an edge to her work 🙂 x
LikeLiked by 1 person
I must say that Noelle’s description of creativity is excellent and really grabbed my attention. Nice to see her visiting here, Sue, her new book looks exciting.
LikeLike
I am always glad to have Noelle visit 🙂
LikeLike